La Polyarthrite Rhumatoïde (PR) est le rhumatisme inflammatoire chronique le plus fréquent de l’adulte. La lésion initiale est l’inflammation de la membrane synoviale. Tous les sites contenant une membrane synoviale peuvent être touchés. Les lésions cliniques inflammatoires concernent donc les os et les articulations ainsi que les structures autour : membranes synoviales, tendons, bourses…
Elle se présente comme une polyarthrite distale bilatérale et symétrique et prédomine aux mains et aux pieds. L’atteinte des pieds, présente dans 90% des cas, représente chronologiquement la première atteinte dans un tiers des cas.

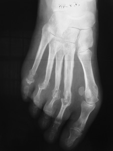
Polyarthrite Rhumatoïde : atteinte de tout l’avant-pied
Physiopathologie de la Polyarthrite Rhumatoïde
La statique du pied peut être définie par l’architecture du pied debout en charge, sans mouvement. Dans cet état, le système mécanique os – articulations – tendons – muscles dont il est constitué se situe dans un état d’équilibre dynamique mettant en jeu des forces musculaires fondamentales sans lesquelles il s’effondrerait.
Cet équilibre du pied est assuré par un assemblage ostéo-articulaire uni par des forces musculaires. La moindre atteinte d’une composante du système retentit immédiatement sur les autres. C’est le cas de la polyarthrite rhumatoïde qui fragilise toutes les composantes du système.
Polyarthrite Rhumatoïde de l’arrière-pied
La statique de l’arrière-pied résulte de l’équilibre entre deux éléments prépondérants : l’articulation sous-talienne et le tendon du tibial postérieur (TP). Dans la Polyarthrite Rhumatoïde, ces deux acteurs majeurs peuvent être atteints amenant à l’arthrite sous-talienne et à la ténosynovite l’avant-pied.
Polyarthrite Rhumatoïde de l’avant-pied
La spécificité de l’hallux valgus rhumatoïde réside dans l’atteinte simultanée et réciproque de l’ensemble des éléments normalement en équilibre. On peut observer une synovite articulaire de la première articulation métatarso-phalangienne (MTP1) et bursite sous-cutanée par conflit avec les chaussures. Pour les métatarsiens voisins appelés les rayons latéraux, l’affaiblissement de l’ensemble des structures en équilibre aboutit au relâchement et à l’étalement des rayons latéraux.
Orteils
La polyarthrite rhumatoïde est responsable d’un déséquilibre des forces musculaires en présence. A cela s’ajoute un effondrement de l’arche interne du pied. Des griffes d’orteils s’installent, favorisées par la chaussure et le développement de l’hallux valgus.
Atteintes cliniques typiques
D’une manière générale le premier signe fonctionnel est donc la douleur d’horaire inflammatoire, c’est à dire survenant au repos, disparaissant avec l’exercice, occasionnant des insomnies voire des réveils nocturnes.
« Coup de vent fibulaire »
Ce terme désigne la déformation en griffe des orteils latéraux avec (sub)luxation dorsale et déviation latérale (vers l’extérieur) des MTP. Ce phénomène nait de l’étalement des rayons latéraux et des griffes d’orteils dont la genèse est décrite plus haut.
Avant-pied triangulaire
Il est la somme de quatre atteintes élémentaires qui interagissent et s’amplifient réciproquement : hallux valgus, étalement des rayons latéraux, et griffes des orteils. A cela s’ajoute un quintus varus, véritable « hallux valgus en miroir » du cinquième rayon.
Les patients se plaignent d’une gêne au chaussage par confit avec les bords des premier et cinquième orteils, mais également avec le dos des orteils rétractés en griffes. Des métatarsalgies sont également présentes, tant par transfert de charge que par bursite intermétatarsienne ou par arthrite inflammatoire des MTP.
Hallux rigidus
Moins classiquement que dans les localisations latérales, la MTP du premier rayon peut être sujette à une arthrite rhumatoïde. Cette cause inflammatoire peut initier ou aggraver des causes habituelles d’hallux rigidus.
Les patients rapportent avant tout des douleurs localisées à la face dorsale de la MTP, traduisant la destruction articulaire par la Polyarthrite Rhumatoïde. Lorsque des ostéophytes se développent, ils créent un conflit douloureux avec les chaussures qui peut être au premier plan des plaintes du patient.
La raideur de l’articulation arrive souvent plus tardivement que dans la forme sans Polyarthrite Rhumatoïde associée.
Pied plat valgus
Le pied plat valgus est un tableau clinique dont le point de départ se situe généralement à l’arrière-pied. La destruction inflammatoire peut survenir directement sur ces structures : arthrite sous-talienne ou ténosynovite du TP. Lorsque la rupture du TP intervient, l’effondrement de l’arche médiale se majore brutalement et décompense le valgus de l’arrière-pied.
Polyarthrite Rhumatoïde : les autres atteintes
Lorsqu’elle survient, l’atteinte rhumatoïde de la cheville est toujours tardive sur un pied rhumatoïde déjà connu. Tous les tendons, dont le tibial postérieur déjà été évoqué, peuvent être le siège d’une ténosynovite et occasionner des douleurs localisées en regard de leur insertion ou de leur trajet.
La ténosynovite des tendons fibulaires se manifeste quant à elle par une douleur et un empâtement de la région malléolaire latérale sous laquelle les tendons se réfléchissent. Lorsque l’insertion tendineuse est concernée, c’est à la base du cinquième métatarsien que siège la douleur. Le talon peut également être atteint et occasionner des douleurs appelées talalgies. Il s’agit d’enthésites concernant le plus souvent l’aponévrose plantaire avec une présentation clinique assez proche de la classique « épine calcanéenne ».
L’enthésite peut aussi atteindre l’insertion du tendon calcanéen (tendon d’Achille). Cliniquement, aux douleurs de tendinite s’ajoute une bursite péritendineuse à proximité de son point d’insertion. Exceptionnellement, de véritables ruptures du tendon calcanéen ont été décrites.
Conclusion
La polyarthrite rhumatoïde agit par destruction inflammatoire de type ténosynovites ou arthrite, de localisations souvent bilatérales et symétriques. Elles viennent déstabiliser l’équilibre de la statique du pied et déclenchent d’autres atteintes en cascade. Leur traduction clinique est dominée par la douleur et l’inflammation de proximité (bursite) ainsi que par l’effondrement progressif de l’architecture du pied.


